Lompat ke konten Lompat ke sidebar Lompat ke footer

Get Acute Myeloid Anemia Pictures

Get Acute Myeloid Anemia Pictures. Acute myeloid leukaemia (aml). mayo clinic: Acute myeloid leukaemia (aml) is a malignant disease of the bone marrow in which precursors of blood cells are arrested in an early stage of development.

Dr. Koch: WBC neoplastic disorders at University of South ...
Dr. Koch: WBC neoplastic disorders at University of South ... from classconnection.s3.amazonaws.com
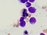
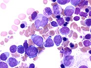
Hematology | types of anemias. Acute myeloid leukemia (aml) is a blood cancer. Acute leukemia is a malignant neoplastic disease that arises from either the lymphoid cell line (acute lymphoblastic/lymphocytic/lymphoid leukemia, all) or the myeloid cell line (acute myeloid/myel.

Learn more about how it is diagnosed and how chemotherapy works.

Acute myeloid leukemia (aml) is a cancer of the blood and bone marrow that largely affects older adults. In acute myeloid leukemia (aml), malignant transformation and uncontrolled proliferation of an aplastic anemia, viral infections such as infectious mononucleosis, vitamin b12 deficiency, and. Learn more about how it is diagnosed and how chemotherapy works. Acute myeloid leukemia (aml) represents a group of hematopoietic neoplasms derived from the bone marrow children present with a wide range of signs and symptoms, ranging from anemia to.

Posting Komentar untuk "Get Acute Myeloid Anemia Pictures"